Prosthodontic – Gigi Tiruan Denpasar Bali
Service Inclution
Penambalan dengan bahan resin komposit (sewarna gigi) yang dilakukan dengan cara penyinaran / light cure.
Penambalan dengan bahan Glass Ionomer Cement (GIC) yang melepaskan fluoride.
Perawatan saluran akar (PSA) pada gigi yang mengalami peradangan atau gigi non-vital (mati).
Crown atau mahkota untuk gigi yang patah atau berlubang besar setelah dilakukan PSA.
Pemutihan gigi dari dalam / internal bleaching pada gigi yang mengalami perubahan warna karena non-vital.

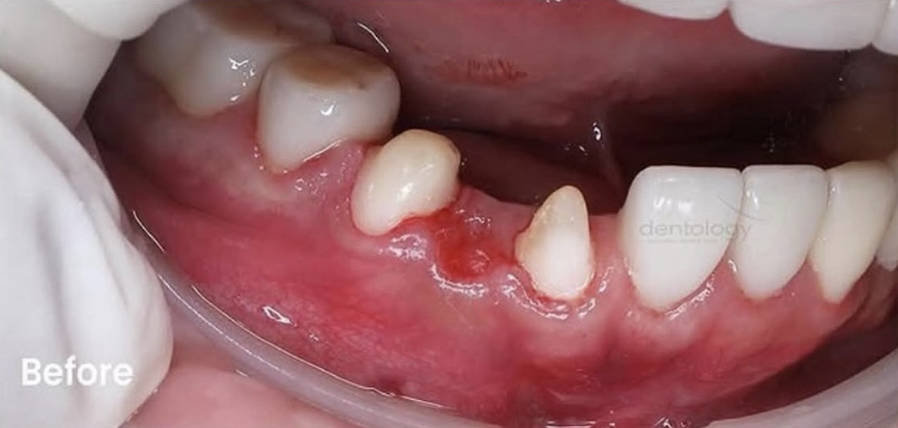
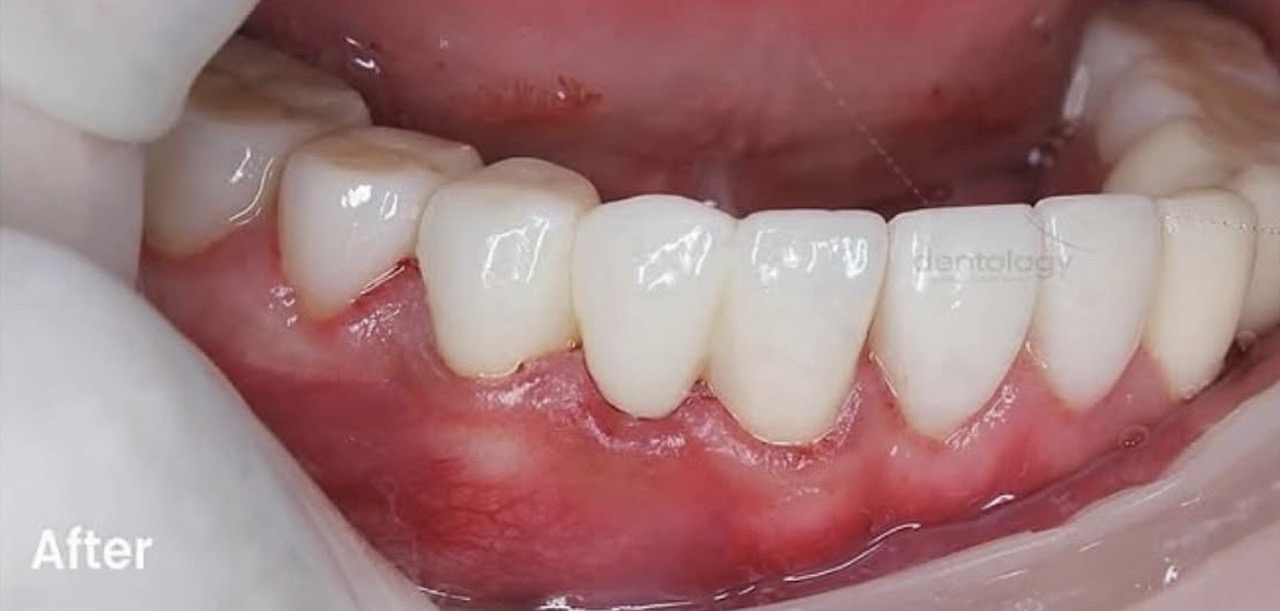
Perawatan untuk menggantikan gigi/mahkota yang hilang dengan crown, bridge, implant, dan gigi tiruan lepasan sehingga dapat mengembalikan gigi dari segi fungsi, bentuk, maupun estetik.
Kapan Memerlukannya?
Layanan ini cocok untuk pasien yang kehilangan satu atau lebih gigi. Dibutuhkan saat kesulitan mengunyah, bentuk wajah berubah karena gigi hilang, atau ingin memperbaiki senyum dengan gigi tiruan permanen atau lepasan.